-
- 사진 촬영 기본, '빛'을 놓치지 말자
- 카메라가 좋아져 셔터만 눌러도 사진이 잘(?) 나오다 보니 촬영 과정에서 꼭 살펴보아야 할 기본사항, 즉 '빛'을 염두에 두지 않는 경우가 많다. 화가가 붓으로 물감을 이용하여 그림을 그리듯 카메라로 빛을 이용하여 그리는 그림이 사진이다. 붓 대신에 카메라, 물감 대신에 빛이다. 사진이라는 원래의 용어에서 그 의미를 확인할 수 있다. ‘photo(빛)
- 2020-03-30 11:08
-
- 사진은 카메라로 쓰는 이야기다
- 이제는 많은 사람이 음식을 먹다가도 길을 걷다가도 셔터를 누르며 수많은 사진을 찍는다. 그러나 그 많은 사진 중에서 작품성을 인정받는 것은 많지 않다. 왜 그럴까? 사진에 대한 이해가 달라서다. 사진 촬영 작업을 “찍는다”라고 표현한다. 찍는다는 것은 있는 그대로 베낀다는 의미다. 똑같은 모양의 벽돌이나 붕어빵을 찍어내듯이... 寫眞이라는 한자 뜻은
- 2020-03-20 09:11
-
- 사진을 찍지 마라
- 우리는 사진을 찍는다고 말한다. “찍는다”는 말의 의미는 붕어빵 구워내듯 한다는 뜻이 포함돼 있다. 같은 크기의 벽돌을 만들어낼 때도 찍어낸다 한다. 현실의 물체, 즉 피사체를 그대로 담아낸다고 하여 사진을 찍는다고 말하는지 모른다. 복사하듯 한다 하여 서양에서 출발한 사진이 한자어를 사용하는 동양에 들어오면서 사물을 그대로 베낀다고 여겨 寫眞이라고 이름
- 2016-08-09 13:12
-
- @@@ [함철훈의 사진 이야기] 사진으로 누군가의 가난을 훔치지 마라
- 사진을 촬영하기 위해 참 많은 나라들을 다녔다. 그 장소들을 정리할 일이 생겨 그 동안 다녔던 지역 이름을 적어 내려가다가 이름이 가물가물해 지역 지도로 들어가게 되었다. 내친김에 아예 지도를 펼쳐 연도에 맞춰 촬영지역을 시간 별로 한 점 한 지역 표시하다보니 가히 세계전도가 그려진다. 그런데 대부분 머문 지역은 유명한 큰 도시가 아니라 모두 변방 오지들이
- 2015-12-18 07:41
이투데이
-
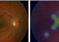
- "눈건강 이상 여부 이제 딥러닝 알고리즘이 알려준다"
- 분당서울대학교병원은 박상준(박규형, 서울시립보라매병원 신주영)교수 연구팀이 망막안저사진(Retinal Fundus Photograph)을 판독해주는 딥러닝 알고리즘을 개발했다고 11일 밝혔다. 이는 출혈, 드루젠 등 황반 이상, 맥락막 이상, 망막 혈관 이상, 신경섬유층결손, 녹내장성 시신경유두 변화 등 망막안저사진에서 관찰될 수 있는 주요한 12개 소견
- 2019-06-11 08:58
-
- [데스크칼럼] 개헌에 성평등도 담자
- 문재인 대통령이 26일 대통령 개헌안을 국회에 발의했다. 이는 1980년 전두환 대통령의 간선제 5공화국 헌법 개정안 발의 이후 38년 만이다. 현재 야당이 거세게 반발하고 있지만, 어찌 됐든 30년 전 국가의 책임과 역할, 국민의 권리에 대한 생각이 많이 바뀐 만큼 이번 개헌은 환영할 만하다. 문 대통령이 정치권의 반대에도 대통령 개헌안을 강
- 2018-03-27 10:49
-
- [김은총의 映樂한 이야기] 영화 '그녀(Her)'를 통해 본 시뮬라크르와 휴머니즘
- ◆에필로그, 신형철의 '시뮬라크르(Simulacre)를 사랑해 평론가 신형철의 글은 언제나 명쾌했다. 대학 시절 읽었던 김행숙의 시집 '이별의 능력' 맨 뒷장에 실린 평론 '시뮬라크르를 사랑해'는 더욱 그러했다. 영화 '그녀(Her)'를 보는 내내 나는 그 글을 떠올렸다. 글의 전문은 이러하다. "나는 너를 사랑한다. 네가 즐겨 마시는 커피의 종류를 알고
- 2014-09-01 17:45








